Skip to content Skip to sidebar Skip to footer

How To Get Rid Of Dental Plaque - Flossing is the next essential step to remove plaque from teeth at home.

How To Get Rid Of Dental Plaque - Flossing is the next essential step to remove plaque from teeth at home.. Using an orange peel to rub your teeth this is a very simple procedure and gives good results. Brushing with baking soda is a safe and effective way to remove plaque. The yellowish plaque first appears close to the gums, and then moves down rest of the tooth, becoming difficult to remove as part of your daily teeth cleaning routine. Studies suggest that toothpaste that contains baking soda may be. Plaque on teeth should be removed regularly to avoid a wide range of dental problems such as inflamed painful gums, bad breath, tooth decay, and tooth loss.

These are just metal widgets with three sides. Then rinse your mouth out with a cap full of a warm water and hydrogen peroxide mix. At one side medical treatments for removing dental plaque is very expensive. Be sure to use a toothpaste containing fluoride as it helps to repair any damage to the enamel. What it is and how to get rid of it. american dental hygienists association:

Dental Plaque Causes Prevention Treatment Removal Of Plaque Listerine
Dental Plaque Causes Prevention Treatment Removal Of Plaque Listerine from www.listerine-me.com
This simple trick is actually very efficient in removing hard tartar and plaque. Hey guys, let me show you how to remove dental plaque without going to the dentist. After eating, it's recommended that you brush your teeth. Here's how to get rid of plaque the right way. Flossing is the next essential step to remove plaque from teeth at home. Mash together oranges, tomatoes, and strawberries into a thick paste. These are just metal widgets with three sides. What it is and how to get rid of it. american dental hygienists association:

Then you can rinse the tongue scraper off and start again.

Brush your teeth twice a day using a soft bristle brush or electric toothbrush. Hydrogen peroxide is a standard effervescent liquid that is safe to use on dentures. Simply rub an orange peel directly onto your teeth. Learning how to get rid of plaque can do much more than preventing tartar buildup. Make an appointment at a dental hygienist, instead of a dentist. Baking soda can remove plaque without damaging the enamel. When flossing, slide the piece of dental floss up between the teeth as far as it will go, without cutting into the gum. Floss once a day with dental floss or a water flosser to get rid of food and plaque stuck between teeth. Sonkar advises that some of the best methods to remove plaque include: Then you can rinse the tongue scraper off and start again. After eating, it's recommended that you brush your teeth. Plaque on teeth should be removed regularly to avoid a wide range of dental problems such as inflamed painful gums, bad breath, tooth decay, and tooth loss. At one side medical treatments for removing dental plaque is very expensive.

At one side medical treatments for removing dental plaque is very expensive. Brush your teeth twice daily. Be sure to use a toothpaste containing fluoride as it helps to repair any damage to the enamel. You can get rid off plaque with a consistent dental hygiene. Studies suggest that toothpaste that contains baking soda may be.

Dentists Hide This From The Public This Simple Mixture Can Remove The Plaque Tartar From Your Teeth In Just A Couple Of Days Beauty Fitness With Harry Marry
Dentists Hide This From The Public This Simple Mixture Can Remove The Plaque Tartar From Your Teeth In Just A Couple Of Days Beauty Fitness With Harry Marry from 4.bp.blogspot.com
Dip your damp toothbrush into some baking soda and then just brush your teeth. Remove the denture from the peroxide and thoroughly rinse it under warm water. Some of the mouth rinses recommend by the american dental association to help control plaque include: Electric toothbrushes have shown to be the most effective in getting rid of excessive plaque on teeth compared to manual toothbrushes. Learning how to get rid of plaque can do much more than preventing tartar buildup. Plaque itself is sticky, but it doesn't have a color. Baking soda can remove plaque without damaging the enamel. After eating, it's recommended that you brush your teeth.

Let the peroxide work its magic for 12 hours.

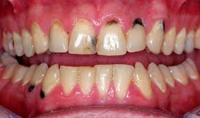
For the hardened plaque removal: You place the metal tongue scraper on the surface of your tongue, pull it forward, and it scrapes off bacteria and plaque in an instant. Plaque itself is sticky, but it doesn't have a color. As well as brushing, rinsing daily with mouthwash is also essential. Hey guys, you are welcome back to my channel i want a very simple and natural way to remove plaque from your teeth. While regular brushing, flossing, and rinsing can help prevent plaque buildup, nothing can substitute professional dental cleaning, which is typically done twice or once a year. A much better tool is a tongue scraper. Brushing with baking soda is a safe and effective way to remove plaque. Some dentists recommend electric toothbrushes because they are believed to be more effective at. Plaque on teeth should be removed regularly to avoid a wide range of dental problems such as inflamed painful gums, bad breath, tooth decay, and tooth loss. If you find this video helpful please hit. You should use a soft toothbrush that you replace at least every three to four months, when the bristles begin to. This simple trick is actually very efficient in removing hard tartar and plaque.

Hey guys, you are welcome back to my channel i want a very simple and natural way to remove plaque from your teeth. Flossing is the next essential step to remove plaque from teeth at home. However, if you leave that plaque build up undisturbed for too long, it will harden itself into a hard calculus called tartar. Electric toothbrushes have shown to be the most effective in getting rid of excessive plaque on teeth compared to manual toothbrushes. Brush your teeth twice daily.

Tartar Removal How To Get Rid Of Plaque Tartar Removal W Flickr
Tartar Removal How To Get Rid Of Plaque Tartar Removal W Flickr from live.staticflickr.com
Brushing your teeth is by far the most effective way of removing plaque, and brushing properly and regularly will help to ensure that less plaque builds up over time. Vitamin c heavy fruits are great for removing plaque at home. Baking soda can remove plaque without damaging the enamel. Be sure to use a toothpaste containing fluoride as it helps to repair any damage to the enamel. These are just metal widgets with three sides. Studies suggest that toothpaste that contains baking soda may be. A much better tool is a tongue scraper. Remove the denture from the peroxide and thoroughly rinse it under warm water.

Get a plaque/tartar removal device, such as the calculus remover from uniharpa;

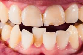
Moreover, it can lead to dangerous mouth problems. Here's how to get rid of plaque the right way. Hey guys, let me show you how to remove dental plaque without going to the dentist. Get a plaque/tartar removal device, such as the calculus remover from uniharpa; Using an orange peel to rub your teeth this is a very simple procedure and gives good results. Brushing with baking soda is a safe and effective way to remove plaque. If you don't remove it in time, however, it results in tartar buildup. The yellowish plaque first appears close to the gums, and then moves down rest of the tooth, becoming difficult to remove as part of your daily teeth cleaning routine. To help control plaque, choose a mouthwash that contains active ingredients that kill bacteria associated with gum disease, dental cavities, plaque, and bad breath. To get rid of dental plaque, remove. Brush your teeth twice daily. At one side medical treatments for removing dental plaque is very expensive. Simply rub an orange peel directly onto your teeth.